Pediatric Tibial Diaphyseal Fractures

Prepared by Dr. Sahin KARALAR

Overview

Epidemiology

  • Tibial shaft fractures account for approximately 15% of all pediatric fractures.
  • They represent the third most common long-bone fracture in children, following femoral and forearm fractures.

Mechanism of Injury

  • Typically demonstrates a bimodal distribution.
  • Low-energy torsional injuries are common in toddlers, often resulting in spiral fractures.
  • High-energy direct trauma (e.g., sports injuries, motor vehicle accidents) is more frequent in adolescents and commonly produces transverse or comminuted fracture patterns.

Biology

  • The thick pediatric periosteum limits fracture displacement and promotes rapid healing.
  • As a result, nonoperative management is the standard of care for the majority of cases.


Clinical Presentation

History

  • A history of trauma is usually evident.
  • In toddlers, the only presenting sign may be a subtle limp.

Physical Examination

  • Pain, swelling, and inability to bear weight are consistently present clinical findings.

Soft-Tissue Assessment

  • Careful evaluation of the skin is mandatory to identify open fractures.
  • Neurovascular examination must be performed and documented.

Compartment Syndrome

  • Less common in children than in adults but must be considered in high-energy injuries.
  • The earliest clinical sign is pain disproportionate to the injury, often accompanied by an increased requirement for analgesia.

Imaging

Plain Radiography

  • Anteroposterior (AP) and lateral radiographs of the tibia are diagnostic.

Rule of Two Joints

  • Radiographs must include both the knee and ankle joints to exclude associated injuries (e.g., Maisonneuve fracture).

Computed Tomography (CT)

  • Rarely indicated for diaphyseal fractures.
  • Considered when intra-articular extension into the proximal or distal tibia is suspected.

Classification

Descriptive Classification

  • Based on fracture pattern: transverse, oblique, spiral, or comminuted.
  • Based on anatomical location: proximal third, middle third, or distal third.

AO Pediatric Comprehensive Classification of Long Bone Fractures (AO PCCF)

  • Tibia/fibula segment is coded as 42.
  • 42-D: Diaphyseal fractures, further categorized as simple, wedge, or complex.

Treatment

Conservative Management (Gold Standard)

Indications

  • Closed, isolated tibial shaft fractures with acceptable alignment.

Acceptable Alignment Criteria

  • Varus/valgus angulation: < 10°.
  • Procurvatum/recurvatum: < 10–20° (sagittal plane remodeling is robust).
  • Shortening: < 10–20 mm (overgrowth of approximately 10–15 mm is common in children younger than 10 years).
  • Rotation: Remodeling does not correct rotational deformity; acceptable limit is < 5° of internal or external rotation.

Technique

  • Initial immobilization with a long-leg cast with the knee flexed 10–20° for 4–6 weeks.
  • Transition to a patellar tendon–bearing (PTB) cast or walking boot as healing progresses.

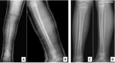
Figs. 1-A through 1-D Radiographs of a 4-year-old girl who had sustained a short spiral tibial shaft fracture while skiing.

Figs. 1-A and 1-B The patient was treated with gentle closed reduction and long leg cast immobilization.

Figs. 1-C and 1-D The patient subsequently progressed to healing in anatomic alignment.

Surgical Management

Indications

  • Open fractures.
  • Compartment syndrome.
  • Floating knee injuries (ipsilateral femoral fracture).
  • Inability to maintain acceptable reduction in a cast.
  • Severe polytrauma.

Elastic Stable Intramedullary Nailing (ESIN/TENS)

  • Treatment of choice for unstable fractures in school-aged children (approximately 5–12 years).
  • Allows controlled micromotion, promoting callus formation.

Rigid Intramedullary Nailing

  • Reserved for skeletally mature adolescents with closed physes and an adult-type medullary canal.

Submuscular Plating

  • Useful for fractures extending into the proximal or distal metaphysis where intramedullary nails provide insufficient stability.

Prognosis

Overall Outcomes

  • Generally excellent, with the majority of patients achieving full functional recovery.
  • Nonoperative management is associated with high union rates in stable fracture patterns.

Time to Recovery

  • Return to normal activities typically occurs within 6–12 weeks.
  • Recovery time depends on patient age, fracture characteristics, and treatment modality.

Operative Treatment Considerations

  • Required for unstable, open, or comminuted fractures.
  • Although associated with higher complication rates, appropriately indicated surgical treatment yields satisfactory outcomes.

Long-Term Follow-Up

  • Recommended, particularly in younger children, to detect late complications such as leg-length discrepancy and residual angular deformity.
  • Follow-up should consider remaining growth potential and fracture location.

Complications

Leg-Length Discrepancy (LLD)

  • Most commonly caused by post-traumatic hyperemia and growth stimulation, leading to overgrowth of the injured limb.
  • Less frequently associated with physeal injury resulting in growth arrest and limb shortening.
  • Usually minimal and clinically insignificant; discrepancies greater than 1–1.5 cm are uncommon and more likely in younger children.

Acute Compartment Syndrome

  • Rare but potentially limb-threatening.
  • Typically associated with high-energy mechanisms and significant soft-tissue swelling.
  • Requires early diagnosis and prompt fasciotomy to prevent permanent neuromuscular damage.

Delayed Union and Nonunion

  • Rare in the pediatric population.
  • More likely following high-energy trauma, open fractures, severe soft-tissue injury, or inadequate fracture stability.
  • Operative stabilization (e.g., elastic stable intramedullary nailing) may reduce risk in selected cases.

Malunion and Angular Deformity

  • One of the most common complications, particularly in distal diaphyseal fractures or cases with inadequate reduction and immobilization.
  • Mild angular deformities often remodel due to the high remodeling potential of the pediatric tibia.
  • Clinically significant malalignment may persist in older children and adolescents nearing skeletal maturity, potentially resulting in functional impairment.

References

1.AO Foundation. (2024).Pediatric tibia, diaphysis: Diagnosis and management. AO Surgery Reference.

2.Raducha JE, Swarup I, Schachne JM, Cruz AI Jr, Fabricant PD. Tibial Shaft Fractures in Children and Adolescents. JBJS Rev. 2019 Feb;7(2):e4. doi: 10.2106/JBJS.RVW.18.00047. PMID: 30817691.

3.Waters PM, Skaggs DL, Flynn JM. Rockwood and Wilkins’ Fractures in Children. 9th ed. Philadelphia: Wolters Kluwer; 2019.

4.Bauer JM, Lovejoy SA. Toddler’s Fractures: Time to Weight-bear With Regard to Immobilization Type and Radiographic Monitoring. J Pediatr Orthop. 2019 Jul;39(6):314-317. doi: 10.1097/BPO.0000000000000948. PMID: 31169752.

5.Maleki A, Qoreishy M, Kazemi S M, Yahya G. Pediatric Tibial Shaft Fractures Remodeling After Casting. JROS 2022; 9 (2) :93-98 URL: http://jros.iums.ac.ir/article-1-2204-en.html

6.Stenroos A, Puhakka J, Nietosvaara Y, Kosola J. Treatment of Closed Tibia Shaft Fractures in Children: A Systematic Review and Meta-Analysis. Eur J Pediatr Surg. 2020 Dec;30(6):483-489. doi: 10.1055/s-0039-1693991. Epub 2019 Aug 22. PMID: 31437858.

7.Cruz AI Jr, Raducha JE, Swarup I, Schachne JM, Fabricant PD. Evidence-based update on the surgical treatment of pediatric tibial shaft fractures. Curr Opin Pediatr. 2019 Feb;31(1):92-102. doi: 10.1097/MOP.0000000000000704. PMID: 30461511.

A 10-year-old girl with closed tibial shaft fracture (AO classification: 42D/4.2). (A) Preoperative anteroposterior and lateral radiographs. (B) Immediately postoperative anteroposterior radiographs. (C) 6 months after surgery, tibiofibular synostosis was detected with union. (D) Anteroposterior radiographs 14 months after surgery.

8.Miyamoto, S.; Otsuka, M.; Hasue, F.; Fujiyoshi, T.; Kamiya, K.; Kiuchi, H.; Odagiri, T.; Tanaka, T.; Nakamura, J.; Orita, S.; Ohtori, S. Associated Injury Complicated by Pediatric Lower Limb Shaft Fractures and Clinical Efficacy of Flexible Stainless-Steel Intramedullary Nailing in Children Less than 15 Years Old. Orthopedic Reviews 2021, 13. https://doi.org/10.4081/or.2021.8008.

9.Raducha, J.; Swarup, I.; Schachne, J.; Cruz, A.; Fabricant, P. Tibial Shaft Fractures in Children and Adolescents. JBJS Reviews 2019, 7, 1. https://doi.org/10.2106/JBJS.RVW.18.00047.

Leave a Reply

Your email address will not be published. Required fields are marked *